ASCE+ SRLV Prešov: Revolúcia v omladení pleti
Totálna regenerácia
5 miliárd exozómov spúšťa v pokožke masívnu produkciu kolagénu a elastínu pre prirodzený lifting.
Zjednotenie tónu
Efektívne redukuje pigmentové škvrny, jazvy po akné a sťahuje rozšírené póry už po prvom sedení.
Hydratácia 300%
Zvyšuje syntézu kyseliny hyalurónovej v pleti, čím zabezpečuje extrémnu hĺbkovú hydratáciu a jas.
Aktivácia séra
Zmiešaním čistého lyofilizátu s regeneračným roztokom aktivujeme 5 miliárd exozómov pripravených na okamžitý prienik do pleti.
Hĺbková obnova
Aplikáciou do dermálnej vrstvy tváre exozómy doručujú rastové faktory priamo bunkám zodpovedným za tvorbu kolagénu.
Viditeľný efekt
Zvýšenie syntézy kyseliny hyalurónovej a kolagénu vedie k vypnutiu vrások, stiahnutiu pórov a rozjasneniu pleti.
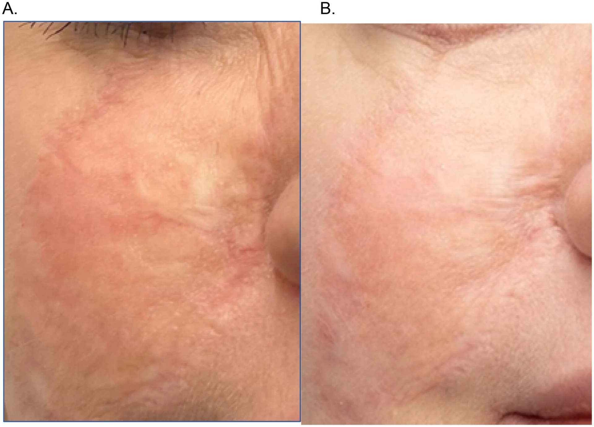
Klinické výsledky
Načítavam popis...
Načítavam zdroj...
Pre koho je ošetrenie určené?
Starnutie a vrásky
Ideálne pre zrelú pleť so stratou elasticity. Exozómy stimulujú kolagén, čím vyhladzujú jemné línie a hlbšie vrásky.
Hyperpigmentácia
Účinné riešenie na slnečné škvrny, melazmu a nejednotný tón pleti. Blokuje nadmernú tvorbu melanínu.
Rozšírené póry a akné
Pomáha sťahovať póry a regenerovať jazvičky po akné. Má výrazné protizápalové účinky na problematickú pleť.
Atopický ekzém a citlivosť
Obnovuje narušenú kožnú bariéru až o 75% a zmierňuje prejavy dermatitídy, svrbenia a začervenania.
Extrémna dehydratácia
Pre pleť, ktorej chýba jas a vlhkosť. Zvyšuje vlastnú syntézu kyseliny hyalurónovej pre hĺbkovú hydratáciu.
Cena ošetrenia
ASCE+ SRLV: Tvár a krk
Hĺbková regenerácia pleti s exozómami, kyselinou hyalurónovou a rastovými faktormi.
Redukcia vrások
Redukuje výskyt jemných línií a vrások podporou remodelácie dermis a syntézy kolagénu.
Pigmentové škvrny
Zlepšuje nepravidelnosti pigmentácie vrátane škvŕn prostredníctvom modulácie melanogenézy.
Spevnenie a elasticita
Zvyšuje pevnosť a pružnosť pokožky stimuláciou aktivity fibroblastov a bunkovej obnovy.
Hĺbková hydratácia
Hĺbkovo hydratuje a vyživuje pokožku pomocou esenciálnych rastových faktorov.
Rozžiarenie pleti
Obnovuje žiarivý a zjednotený tón pleti prostredníctvom regeneračnej komunikácie.
Kolagén
Elastín
Vedecké podklady a štúdie
Prečítajte si publikované klinické dôkazy o účinnosti exozómov ASCE+ SRLV v dermatológii.
Liečba jaziev po akné (Exozómy + CO2 Laser)
12-týždňová prospektívna dvojito zaslepená štúdia potvrdzujúca výrazné zlepšenie hojenia jaziev pri kombinácii laseru a exozómov.
Účinnosť exozómov pri liečbe Melazmy
Klinické posúdenie tolerancie a výsledkov pri použití microneedlingu v kombinácii s exozómami pri hĺbkových pigmentáciách.
Klinická štúdia: Regenerácia bariéry pleti
Najnovšie poznatky z roku 2025 o účinnosti exozómov pri obnove kožnej bariéry a celkovom omladení textúry pokožky.
Terapeutický prístup k pleťovej pigmentácii
Štúdia zameraná na neinvazívny microneedling a exozómy ako modernú metódu redukcie farebných nerovností pleti.
Exozómy ASCE Plus
Čo sú exozómy a prečo prinášajú revolúciu v estetickej medicíne.
Viac o terapii
SRLV: Tváre & Dekolt
Omladenie pleti, vyhladenie vrások a hĺbková regenerácia buniek.
Zobraziť výsledky
HRLV: Vlasová terapia
Aktivácia folikulov a zastavenie vypadávania vlasov exozómami.
Zobraziť výsledky
IRLV: Intímne omladenie
Regenerácia a zlepšenie elasticity citlivých intímnych partií.
Pripravujeme